-
Sykehuset har to hovedlokasjoner fra 16. novemberSøndag 16. november åpnet det nye sykehuset på Ullandhaug, og mange avdelinger har nå flyttet fra Våland til Ullandhaug. Husk å sjekke innkallingsbrevet for riktig oppmøtested.Finn fram til riktig sted
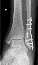
Ankelbrudd: Behandling med operasjon
De fleste ankelbrudd kan behandles uten operasjon. Hvis bruddet er ustabilt, er det ofte aktuelt å operere med plate.

Før operasjonen
Les nøye gjennom denne informasjonen og gjør det som står her: Ankelbrudd - Helse Stavanger HF (helse-stavanger.no).
Hold foten mest mulig høyt. Beveg godt på tærne.

Etter operasjonen
- Så fort som mulig bør du bevege ankelleddet og tærne, og holde foten høyt de første døgnene. Dette er med på å redusere hevelse og smerte.
- Det er vanlig med mye smerter de 2–3 første dagene.
- Resepter på smertestillende får du elektronisk og hentes på apoteket.
- Hold bandasjen tørr og ren. Ved våt bandasje, bytt til ren og tørr.
- Dersom du ikke har fått annen beskjed, kan du belaste foten lett på den opererte ankelen etter 2 døgn med krykker, de 6 første ukene. Øk gradvis belastningen etter smertene etter de 2 første ukene. Full belastning etter 6 uker.
Kontroll
Du får kontroll hos sykepleier for å fjerne sting etter 2 uker.
Du vil få SMS som ber deg logge inn via CheckWare og svare på spørsmål 6 uker, 12 uker og 1 år etter operasjonen. Tilbakemelding og eventuell innkalling til kontroll hos lege baseres på svarene du har sendt inn og dine behov.
Ta snarlig kontakt ved tegn til infeksjon (feber, siving, rødme, økte smerter, og varmeøkning). De første 2–3 dagene er det vanlig med infeksjonslignende symptomer, men infeksjon skjer sjelden så tidlig. Skulle noe uventet skje og du får behov for å kontakte oss, kan du ringe sengepost 5G på telefon 51 51 91 80.